【喜讯】海洋药物研究院花刺参全人工育苗获得重大突破
近日,从taptap点点体育海洋药物研究院海洋药用生物繁育和微生物种质资源研究团队获悉,花刺参全人工育苗获得重大突破。
团队成员黄亮华介绍,花刺参作为北部湾特色海洋药用海参,具有很高的药用价值和营养价值,由于污染等生境的破坏,野生资源几乎绝迹,干货市场价格更是高达2万元每公斤。海洋药物研究院从成立之初就立足北部湾特色药用海洋生物,经过近2年努力,2020年5月,团队在北海进行全人工培育条件下的花刺参亲参催产并取得成功,获得花刺参授精卵130万粒,孵化花刺参幼虫100万头,经过一个多月的培育,获得体长1cm的花刺参稚参1万头。此次成功,突破了花刺参全人工育苗的瓶颈,为实现北部湾花刺参规模化养殖打下了基础,为北部湾特色药用花刺参推广应用创造了条件。

花刺参亲参培育

花刺参亲参

花刺参原肠胚

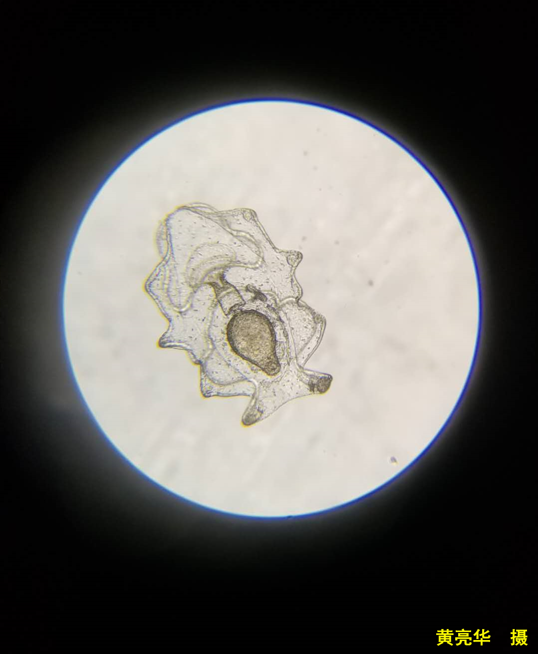
花刺参大耳幼体

花刺参稚参

花刺参稚参培育

单点登录
账号密码登录